casi clinici

Ogni sorriso racconta una storia. In questa sezione condividiamo alcuni casi clinici significativi, esempi concreti del nostro impegno per risultati funzionali ed estetici duraturi. Un percorso fatto di ascolto, competenza e personalizzazione.

Over o tap immmagine per vedere il prima

1.

Trattamento ortodontico di malocclusione dentale

Studio dentistico GTF - casi clinici

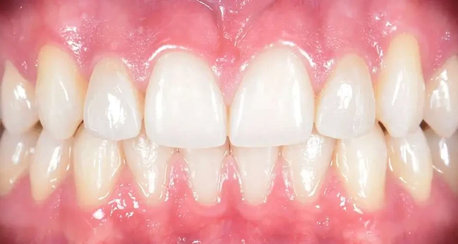
2.

Rinnovamento del sorriso con sbiancamento e faccette in ceramica su incisivi laterali per cambiamento di forma
Studio dentistico GTF - casi clinici

3.

Ricostruzioni dirette per sostituzione di otturazioni incongrue

Studio dentistico GTF - casi clinici

5.

Riabilitazione implanto-protesica di incisivo laterale

Studio dentistico GTF - casi clinici

6.

Riabilitazione di incisivo con corona in zirconia

Studio dentistico GTF - casi clinici